What is sales cycle in Salesforce?
The Sales Process is a series of repeatable steps that the sales team can take with a prospect to sell their product. It is a Salesforce term used to dete...
Timely, reliable information for a more informed world.
The Sales Process is a series of repeatable steps that the sales team can take with a prospect to sell their product. It is a Salesforce term used to dete...
Reliable: assessment is accurate, consistent and repeatable. Feasible: assessment is practicable in terms of time, resources and student numbers. Educatio...
Down syndrome is one of the most common genetic problems that can occur in pregnancy. If a pregnancy has a genetic abnormality it will usually be miscarri...
There are ingredients in cola drinks -- corn syrup in sugared colas and caramel coloring in both sugared and diet colas -- that might cause high blood pre...
Most grass seed will start growing in about 10-14 days, but sometimes it can take up to 30 days. When you're planting new grass seed in your yard, it...
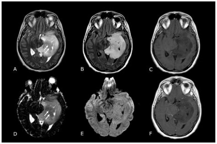
Cranial computed tomography (CT) and magnetic resonance imaging (MRI) with and without contrast media are widely used for primary diagnosis of brain tumor...
As mentioned previously, it is not wise to keep large amounts of cryptocurrency in any hot wallet, especially an exchange account. Instead, it is suggeste...
Basically, FOR me means it benefits you in some way. TO me is more of your personal thoughts on something. So let's use Antonio's last example f...
If you do not have access to online banking, you can call your bank's customer service line. They can help you receive a paper copy of your statement...
Canada has been considered as one of the most likable country for Pakistani students because of the wide amount of scholarship and employment opportunitie...